Berita Viral
NASIB Pria Alami Kelamin Patah di Malam Natal Gara-gara Lakukan Ini, Kini Jalani Perawatan Intensif
Malang nasib pria asal Vietnam ini. Bagaimana tidak, di malam natal, ia mengalami kejadian nahas.
Pria tersebut melaporkan penisnya melengkung, nyeri, dan bengkak.
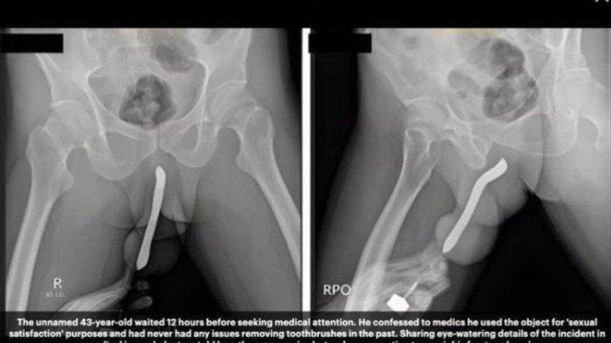
"Dia memiliki riwayat memasukkan sikat gigi ke bagian punggung dan perut penisnya melalui sayatan kecil di rumahnya pada tahun 2017 untuk kepuasan seksual.
Oleh karena itu, pasien telah menyimpan alat tersebut di penisnya selama enam tahun," tulis laporan jurnal tersebut.
Pasien menjalani operasi
Akibat cedera tersebut, pasien harus menjalani operasi yang dilakukan oleh seorang ahli urologi dengan spesialisasi trauma dan rekonstruksi.
Dokter yang menangani pasien mengatakan, salah satu kesulitan operasi pada kasus ini adalah ketika melepaskan sikat gigi yang terlanjur menempel pada jaringan di sekitarnya.
Operasi dilakukan selama dua jam dengan total volume kehilangan darah kurang lebih sebanyak 100–150 mililiter.
Pasien kemudian dipulangkan tiga hari setelah operasi dan dilaporkan tidak ada komplikasi saat pemulihan pasca operasi.
Satu bulan setelah operasi, pasien melaporkan tidak adanya kelainan bentuk dan fungsi seksual serta kelainan buang air kecil.
Apa itu patah tulang penis?
Menurut jurnal tersebut, patah tulang penis adalah kondisi yang relatif jarang terjadi.
Meskipun demikian, kasus patah tulang penis paling sering terjadi akibat trauma benda tumpul selama hubungan seksual, fleksi paksa, masturbasi, atau berguling.
Patah tulang penis juga dapat menyebabkan gangguan kesehatan fisik dan psikologis pasien.
Untuk mengatasi kondisi ini, dokter akan merekomendasikan untuk melakukan eksplorasi bedah.
Setelah melakukan tindakan pembedahan, pasien disarankan untuk segera menjalani perbaikan dan menghindari penggunaan implan yang tidak standar.
| KEBERADAAN AKBP B Polisi yang Temukan Dosen Untag Tewas Tanpa Busana di Hotel, Gelagatnya Disorot |
|
|---|
| MISTERI Kematian Dwinanda Linchia Levi, Dosen Muda Untag yang Ditemukan Tanpa Busana di Kamar Hotel |
|
|---|
| HUBUNGAN Pria yang Ditusuk Oknum TNI dengan Istri Pelaku Bukan Selingkuhan, Anak Kandung Buka Suara |
|
|---|
| PENGAKUAN Helwa Makan Nasi Campur Air Usai Dinikahi Habib Bahar Disentil Pedas: Gak Masuk Akal |
|
|---|
| Sebelum Ditemukan Tewas Dosen Untag Curhat soal Perwira Polisi AKBP B, Keluarga Heran |
|
|---|
:quality(30):format(webp):focal(0.5x0.5:0.5x0.5)/medan/foto/bank/originals/Ilustrasi-Operasi-Pembesaran-Alat-Kelamin-off.jpg)